No matter how big or small the procedure, cosmetic dentistry can positively impact more than just your smile. At Angels Smiles Dental Care Center, our porcelain veneers, dental bonding, and teeth whitening help you feel more confident as you put your best smile forward.
Porcelain Veneers
Treatment with porcelain veneers is a conservative way to upgrade your smile. When placed over the front of the tooth, each thin, wafer-like veneer gives your tooth a new appearance, correcting or enhancing its coloration, shape, size, and spacing. Our veneers are custom-designed and crafted from aesthetic porcelain to give you a natural-looking smile makeover. To learn more, visit our Porcelain Veneers page.
Dental Bonding
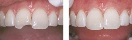
Dental bonding is a convenient way to make minor corrections to your smile. In a single appointment, we can restore a chipped or discolored tooth or a small tooth gap with dental bonding. We perform this treatment by applying composite material in various shades, translucencies, and glosses directly to your tooth. With delicate artistry, we restore the tooth’s beauty while reproducing its natural color variations, light reflectivity, and translucency. The before and after photos below show the natural-looking result you can achieve from this inconspicuous treatment.

Teeth Whitening
Teeth whitening is a great place to begin your cosmetic dentistry journey. We offer a convenient at-home whitening solution as well as in-office treatments. Either of these can be repeated as many times as you like until your desired level of brightness is reached. Check out our page on teeth whitening for more information.

Your Cosmetic Dentist
Dr. Dr. Oksana Bailey has helped many patients transform their smiles with cosmetic dentistry. She is so confident that you’ll love our work that she offers a beautiful smile guarantee on all smile makeovers. To see examples of makeovers we’ve provided patients, visit our Smile Gallery.
A Smile You’ll Love
If you’re curious about what cosmetic dentistry can do for you, we invite you to request a complimentary consultation. To get started, give us a call or request an appointment online, and we’ll contact you to set one up.
