Patients seeking a holistic approach to dental care often wish to avoid certain materials in their fillings and crowns. At Angels Smiles Dental Care Center, we are happy to accommodate your needs in this area, even though we’re not specifically holistic dentists. We provide BPA-free, mercury-free, and metal-free restorations so you can feel good about your care.

Infographic intended for holistic-minded patients that shows the mercury-free, metal-free, and BPA-free restorations available by the dentists at Angels Smiles Dental Care Center.

BPA-Free, Mercury-Free Restorations

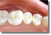
Photo of three teeth restored at the dentist with mercury-free white composite fillings.

Whether you need a filling, inlay, onlay, crown, or bridge, or even bonding work, you can get it done mercury-free and BPA-free at Angels Smiles Dental Care Center. For fillings and bonding work, we use white composites that blend right in with your smile. Our composite restorations are always mercury-free and can also be BPA-free upon request. As we have a variety of composites available, some of which are BPA-free, let us know that you prefer BPA-free composites so that we can select the right material for your filling or bonding work. Our inlays, onlays, crowns, and bridges are made of durable, aesthetic ceramics that are naturally mercury-free and BPA-free.

Metal-Free Dentistry

If you have a holistic mindset toward dental care, you’ll love our metal-free dentistry at Angels Smiles Dental Care Center. Since we don’t do amalgam fillings or porcelain-fused-to-metal (PFM) crowns, all of our restorations are completely free of metals. And if you need dental implants, zirconia fixtures and abutments provide excellent alternatives to the traditional titanium ones.

Looking for Holistic Dental Care?

We’d love to meet your need for mercury-free, BPA-free, and metal-free dentistry, even though we’re not a holistic dental practice. Give us a call to schedule an appointment. Or request an appointment online, and we’ll contact you to set one up.